Nosso
Diferencial
Além de atuar nas áreas de Citopatologia, Histopatologia, Cell Block e Necropsia. O CDVetRio conta com serviço pioneiro e diferenciado de análise histopatológico no transcirúrgico.
Através do método de congelação no transcirúrgico, trabalha-se com a possibilidade de estabelecer margens cirúrgicas livres de neoplasia. A congelação permite cortar o tecido fresco, preparando-o para o exame microscópico e observação no momento da cirurgia, possibilitando além da análise das margens, um diagnóstico presuntivo, com posterior coleta do material em formalina 10%, processamento para exame histopatológico e diagnóstico morfológico final.
diagnóstico em
Medicina Vetrinária
Atuando no Rio de Janeiro e região metropolitana, o CDVetRio é um laboratório especializado em Anatomia Patológica, oferecendo diagnóstico veterinário de qualidade, confiabilidade e rapidez.
Contamos com uma equipe qualificada, liderada pela Doutora Gabriela Cid, Médica Veterinária graduada pela Universidade Federal Rural do Rio de Janeiro, Mestre, Doutora na área de Patologia Animal.
Além de atuar nas áreas de Citopatologia, Histopatologia, Cell Block e Necropsia. O CDVetRio conta com serviço pioneiro e diferenciado de análise histopatológico no transcirúrgico.
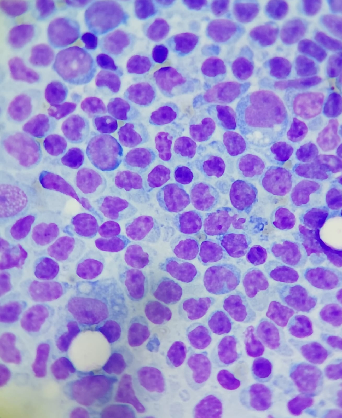
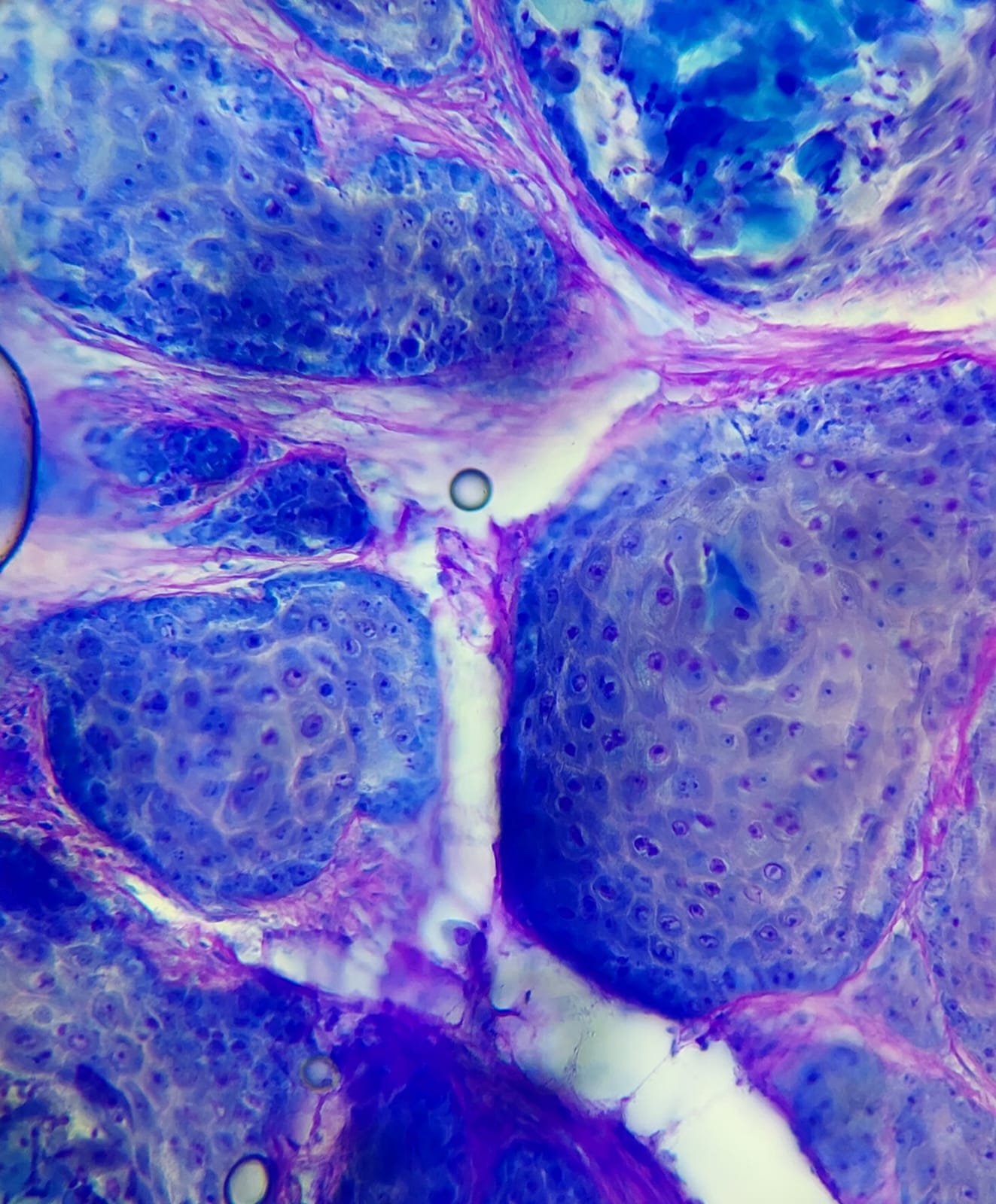
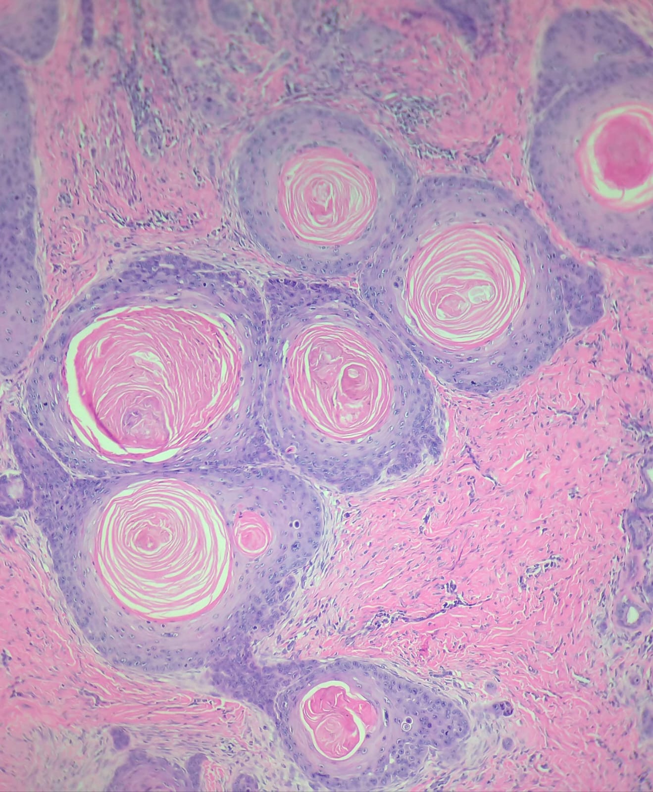
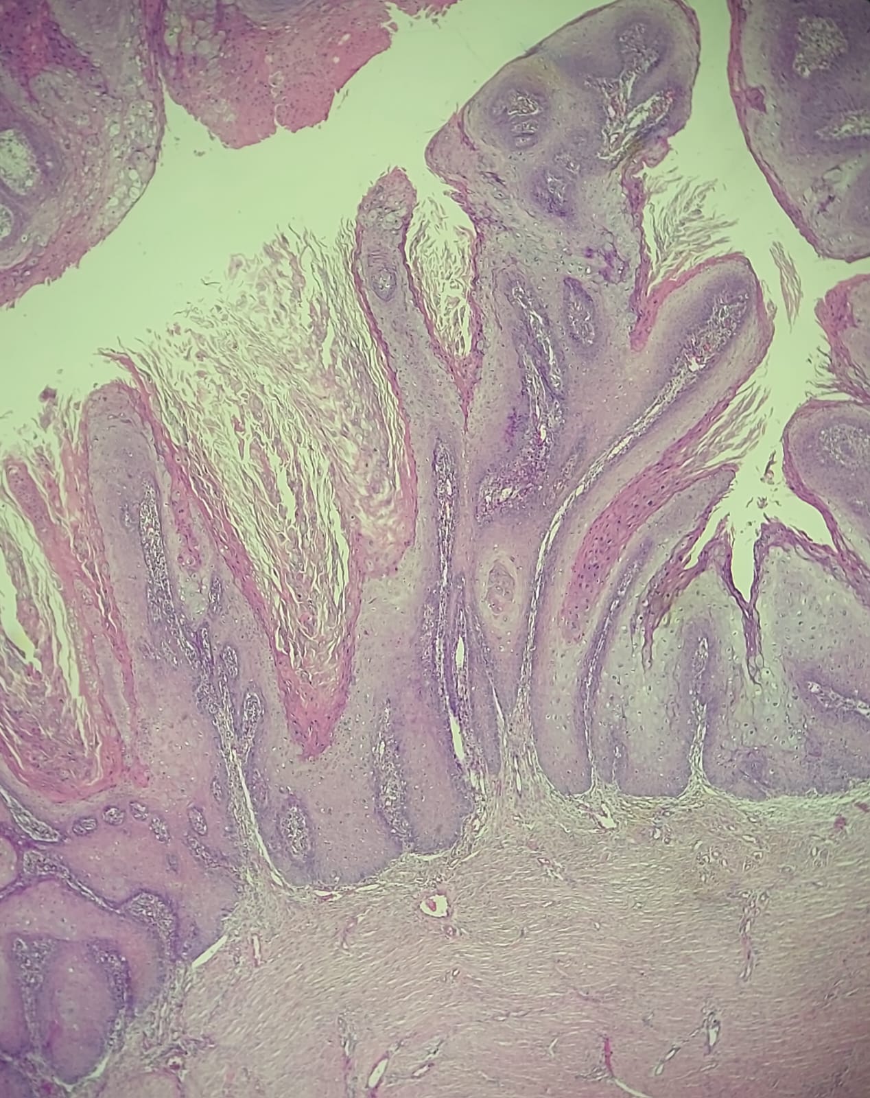
análise microscópica de tecidos para detecção de alterações em sua morfologia.
Instruções de coleta: Para uma boa fixação do material, as amostras coletadas devem ser enviadas em formol a 10% (NÃO se deve considerar a concentração 37% ou 40% antes de realizar a diluição. Portanto, o correto é utilizar uma parte do formol 37% ou 40% para 9 partes de água). O volume total de formol 10% deve ser 10 vezes o volume da amostra (proporção 10:1), tendo cuidado de não pinçar, principalmente pequenos fragmentos. Para amostras de grandes dimensões, deve-se preconizar o envio em recipientes de boca larga e realizar incisões antes da fixação de forma cuidadosa, sem seu completo seccionamento ou divisão.
Realizações de colorações especiais por método histoquímico estão inclusas no preço caso necessárias. Para materiais que necessitem de descalcificação pode ser acrescido serão acrescidos 3 dias úteis ao prazo.
Nossa
Equipe
Contamos com a parceria de 4 patologistas.
Profissionais qualificados, com especialização, mestrado e doutorado na área de Anatomia Patológica com mais de 10 anos de atuação.
Algumas áreas de destaque
- Patologia transcirúrgica
- Oncopatologia
- Dermatopatologia
- Patologia Felina
- Patologia gastrointestinal
- Patologia renal
- Patologia ocular
Nossos
Exames
Depoimentos
O CDVET é um laboratório com profissionais extremamente qualificados e competentes que conseguem trazer para a veterinária um trabalho de excelência! A equipe está sempre atualizada e embasada nos estudos mais recentes e estão sempre preparados até para os casos mais difíceis! Lá tenho segurança plena nos diagnósticos, confio de olhos fechados!
Fale com a CDVetRio
Tire suas dúvidas diretamente com profissional

Excelente equipe, profissionais acessíveis, atualizados e de extrema confiança. O laboratório oferece serviços diferenciados e com profissionais muito competentes.